Accessible Version
Chestnut Oak Dental

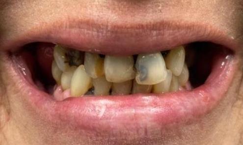
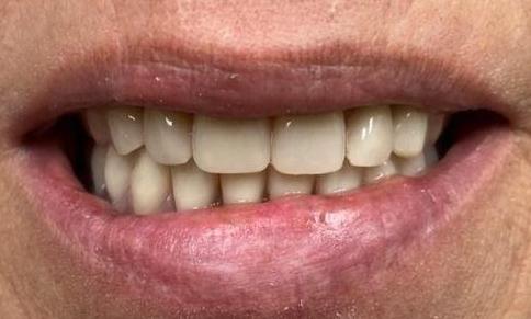
Smile Gallery

Have Questions? Get in Touch
I can’t imagine where I would be if I didn’t meet her

“Dr. Costigan was a life saver! I can’t imagine where I would be if I didn’t meet her. I broke my jaw in an ATV accident and I needed dental implants and if she wasn’t the prosthodontist who took care of me, I’m not sure the outcome would have been the same. She made me feel comfortable, confident, and most of all, optimistic about the outcome. I drove 3 hours for my procedure and it was worth the trip every time. I wouldn’t have gone to anyone else for my dental work. I highly recommend her.”

- G. R.

If you have difficulty using our website, please email us or call us at (845) 265-3654
View the ADA Accessibility Statement